Anatomo-physiopathologie
– La veine cave supérieure
- draine le sang veineux de la tête et de la moitié supérieure du tronc et contribue au drainage de la paroi postérieure de la moitié inférieure du tronc par l’intermédiaire du système azygos
- résulte de l’union des troncs veineux brachiocéphaliques (ou innominés) droit et gauche. Les deux troncs veineux brachiocéphaliques drainent le sang veineux de la tête, du cou (veines jugulaires internes) et des membres supérieurs (veines sous clavières) vers le cœur. Ils reçoivent des affluences de la glande thyroïde, de la cavité thoracique et du cou
- à une paroi fine facilement déformable et compressible. Elle est située dans une zone anatomique où se trouvent de nombreux relais ganglionnaires qui drainent la totalité du poumon droit et le lobe inférieur gauche
– Le syndrome cave supérieur est une obstruction du retour veineux aigue ou chronique, partielle ou totale, sur le système cave supérieur des membres supérieurs ou de l’extrémité céphalo-cervicale
– Cette obstruction du retour veineux peut résulter d’une compression extrinsèque, d’une infiltration endovasculaire de la paroi veineuse par une tumeur ou par une thrombose
– On décrit 4 types d’obstruction de la VCS - type 1 : obstruction partielle (< 90%) avec retour azygos fonctionnel
- type 2 : obstruction supérieure à 90% avec retour azygos fonctionnel
- type 3 : obstruction supérieure à 90% avec retour azygos non fonctionnel
- type 4 : obstruction complète touchant au moins l’un des troncs veineux à l’origine de la VCS, et le système azygos
– Les signes cliniques sont la conséquence de l’interruption du retour veineux normal du sang de la tête, du cou et des membres supérieurs vers l’oreillette droite
Epidémiologie
– 3 à 20% des patients atteints d’un cancer au niveau thoracique développent une obstruction de la veine cave supérieure
- le cancer du poumon est la néoplasie le plus souvent impliquée dans le syndrome de la veine cave supérieure (incidence jusqu’à 10% pour le cancer du poumon à petites cellules)
- les autres néoplasies les plus fréquemment impliquées sont les tumeurs du sein, des cellules germinales, de l’oesophage et les lymphomes non hodgkiniens
| Etiologie maligne | Etiologie bénigne |
|---|---|
| Cancer broncho-pulmonaires (60 à 90% des cas) | Thromboses iatrogènes en général causées par la présence d’un corps étranger : cathéter veineux centra, pacemaker |
| Lymphomes | Médiastinites : post-infectieuses, post-radiques, médicamenteuses |
| Métastases médiastinales | Tumeurs bénignes du médiastin : goitre plongeant endothoracique, kyste thymique ou dermoïde |
| Autres : Thymomes malins, tumeurs germinales, cancers de la thyroïde, plasmocytomes extra-médullaires intra-thoraciques |
Diagnostic clinique
– Signes cliniques
- les manifestations du syndrome cave supérieur sont déclenchées ou aggravées par toutes les circonstances qui augmentent la pression de la veine cave supérieure à savoir l’antéflexion (signe du soulier), le décubitus, les efforts au niveau des membres supérieurs, la mastication, ...
- le début est progressif, mais son retentissement dépend de la vitesse d’installation, de la cause sous-jacente et de la suppléance par la circulation collatérale
- les signes cliniques associent :
- oedème cervico-facial et des paupières (en cas de doute demander au patient une photographie antérieure pour comparaison)
- oedeme de la partie supérieure du thorax et des épaules ("œdème en pèlerine")
- cyanose cervico-faciale
- turgescence des veines jugulaires, circulation veineuse collatérale thoracique
- l’œdème des structures profondes peut donner une dysphagie (œsophage), une dyspnée et une toux (trachée et bronches), un épanchement pleural, une dysphonie (cordes vocales)
- l’hypertension veineuse cérébrale peut donner des céphalées, une somnolence, une sensation d’étourdissement, des troubles visuels, des nausées, des syncopes, des convulsions et même un coma
– Signes de gravité engageant le pronostic vital :
- oedème cérébral : stupeur, somnolence, confusion, coma, convulsions
- oedème pharyngé : stridor, dyspnée inspiratoire, détresse respiratoire
Examens complémentaires
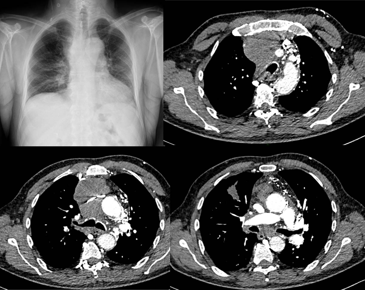
– RP : élargissement du médiastin supérieur, comblement de la fenêtre aortopulmonaire
– Angioscanner cervicothoracique avec si possible injection bi brachiale
- examen de référence :
- signes directs : lésion médiastinale, compression extrinsèque, thrombus
- signes indirects : en rapport avec le développement de la circulation collatérale
- injection tardive (temps de recirculation) : thrombose intra-luminale +++
RP et TDM infiltration ganglionnaire médiastinale associée à une image d’allure tumorale LSD chez un patient tabagique
– Angio-IRM
- en cas d’allergie ou d’impossibilité d’utiliser les produits de contrastes iodés et/ou d’accès veineux difficile
– Si scanner négatif et forte suspicion clinique : écho doppler veineux des membres
supérieurs et cervical (jugulaire) dès que possible
– biologie :
- NFP, bilan de coagulation (D dimères inutiles) et évaluation de la fonction rénale, calcémie
Traitement
– Dans tous les cas discussion dès que possible avec équipe référente d’onco hématologie
Si nécessité de pose de VVC : ne pas poser de VVC en zone supracardiaque
– Traitement médical
- oxygénothérapie
- position ½ assise
- corticothérapie 2 à 3 mg/kg/J PO ou IV (à discuter en cas de suspicion de lymphome)
- anticoagulation dose curative : lorsque la thrombose est prouvée ou fortement suspectée HNF en IV ou HBPM en SC
- anticoagulation en préventif d’une obstruction complète : HBPM en SC
– Traitement oncologique
- chimiothérapie
- radiothérapie
– Traitement endovasculaire
- indiquées lorsque la VCS ne parait pas totalement thrombosée (type 2) et chez un sujet dont on pense que le traitement spécifique n’a que peu de chances d’être efficace (CBNPC en particulier)
- angioplastie intra-luminale et stents
Pronostic
– Le syndrome cave supérieur est le plus souvent le témoin d’une maladie avancée
- moins de 10% des patients survivront plus de 30 mois après le traitement de l’obstruction de la VCS, la survie médiane étant d’environ 6 mois
- la survie des patients présentant un syndrome cave supérieur n’est cependant pas différente de celle des patients au même type et stade tumoral mais ne présentant pas de syndrome cave supérieur
Bibliographie
– Le traitement des urgences oncologiques (2e partie) - Syndrome de la veine cave supérieure, oedème cérébral péritumoral et convulsions, Christine Hamel
Pharmactuel Vol. 44 N° 2 Avril, Mai, Juin 2011
– Superior vena cava syndrome caused by a malignant tumor : a retrospective single-center analysis of 124 cases. Hohloch K, et al ; J Cancer Res Clin Oncol, 2014 Dec ;140(12):2129-34
– Patients with superior vena cava syndrome : pitfalls in recognition Bosma JW, et al ; Ned Tijdschr Geneeskd. 2014 ;158(1):A6858
– Traitement endovasculaire du syndrome cave supérieure d’origine maligne et sa récidive. V. Moulin et al ; Journées Françaises de Radiologie Paris, Oct 2009





Nous informons nos visiteurs que Urgences-Serveur.fr n'est pas un service médical, ni une téléconsultation.
Aucun conseil ni avis médical ne sera donné via ce forum.
Consultez votre médecin si vous pensez être malade.
Composez le 15 en cas d'urgence médicale.
Vos commentaires
Pour participer à ce forum, vous devez vous enregistrer au préalable. Merci d’indiquer ci-dessous l’identifiant personnel qui vous a été fourni. Si vous n’êtes pas enregistré, vous devez vous inscrire.
Suivre les commentaires :
|
